Dr Paul GRAINDORGE
SPÉCIALISTE QUALIFIÉ EN ORTHODONTIE
Dr Paul GRAINDORGE
SPÉCIALISTE QUALIFIÉ EN ORTHODONTIE

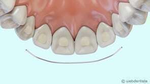
Fil de contention


video-play-icon

Articles similaires

Création par Webdentiste

Connexion